The following are images captured with a biological student microscope. You can view all prepared microscope slide kits here.

Dog tongue
This dog tongue prepared slide was captured under the microscope at 40x magnification.
Rabbit lung
This rabbit lung prepared slide was captured under the microscope at 100x magnification.
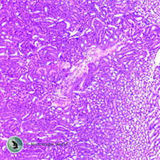
Small Mammal Kidney
This small mammal kidney prepared slide was captured under the microscope at 100x magnification.
Animal Stomach
This animal stomach prepared slide was captured under the microscope at 100x magnification.
Human Blood
This human blood prepared slide was captured under the microscope at 400x magnification.



